发布时间:2018-04-25
为进一步加强各科室之间的协作配合能力,为重点病种患者建立起一条快速、有序、安全、有效的“生命通道”,提高急危重症患者的抢救成功率,4月25日下午,燕达医院召开了重点病种急诊服务流程培训会。
根据数据分析显示,在燕达医院神经外科所收治的脑血管疾病患者在所有疾病类型患者中属(zui)高,其严重性不言而喻。近期,燕达医院神经外一科就收治了一位备受脑血管病困扰的外地老年患者高大爷(化名)。
发布时间:2018-04-24
4月24日午休时,燕达医院心内一科医生办公室内却充满了浓厚的学习交流气氛,全科医护人员主动放弃午休时间进行着业务培训,只见大家认真地看着墙面上的PPT投影,听着刘明皓医师的讲解,并不时低头做着笔记……
发布时间:2018-04-23
微信诊间缴费快速方便,只需几秒就能完成……4月23日上午,患者陈先生在燕达医院亲身体验了智慧医疗带来的便捷。当日,在燕达医院普外科诊室发生了这样一幕,陈先生在问诊后,医生为他开具了化验检查单,然后他就拿出手机通过关注的燕达医院微信公众号完成了付款缴费,接着就去
发布时间:2018-04-20
为使医疗技术的临床应用适应医院发展的需要,不断提升医疗质量和医疗服务能力,4月20日下午,燕达医院召开了2018年度shou次医疗技术管理委员会会议,燕达医院执行院长姜合作,执行院长助理兼医务部常务副主任刘培宗等院领导与委员会委员及专家三十余人参加了本次会议。
近年来,河北燕达医院不仅迅速成长成为京东地区体量(zui)大、硬件设施(zui)强、学科发展(zui)为全面、优势专科(zui)为凸显的三级综合性医院,更发展成为一家培养、承载与释放优质医疗资源的平台枢纽。
发布时间:2018-04-19
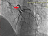
患者男性,52岁,1周前(2018-4-10)突发胸痛3小时,伴大汗,心电图前壁导联明显的ST段弓背向上抬高,以及心肌坏死标记物存在有意义的升高,明确诊断为:冠心病,急性前壁心肌梗死,遂来我院就诊,我科启动绿色通道,为患者实施急诊冠脉造影检查
发布时间:2018-04-18
2018年4月17日,中国非公立医疗机构协会发布了“关于医院信用与能力评价结果公示的通知”,河北燕达医院被评为信用评价AAA医院及能力评价五星医院,为其他非公立医疗机构树立了先锋典范。
为有效应对可能发生的H7N9禽流感疫情,提高早期病例和疑似病例的识别能力,防止疫情扩散及医源性感染,推动医院应急队伍能力建设,4月18日,燕达医院组织开展了人感染H7N9禽流感疫情应急演练,燕达医院执行院长姜合作任总指挥,院办主任朱庆录、感控部主任栗方任副总指
发布时间:2018-04-17
13岁,谁能想到正值豆蔻年华的小彤彤(化名),已经经历了整整四年的“怪病”折磨。这天,来自秦皇岛的小彤彤在妈妈的陪伴下走进了燕达医院眼科张仲臣主任的办公室,张主任为彤彤做了白内障术后的次复查。结果喜出望外:彤彤的双眼视力已经从术前的0.25以下恢复到了0.8以
医院地址:燕郊经济技术开发区思菩兰路燕达国际健康城 燕达医院客服电话:400-898-1120
版权所有 河北燕达医院 冀ICP备11006524号-2 廊公备13100001406 廊审批社会[2022]45013号 医疗广告审查证明文号:廊医广24026号