发布时间:2018-05-04
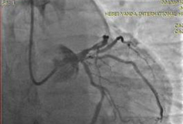
患者的成功抢救,充分体现出燕达医院开展学科建设及多学科会诊机制的实施成效。当然,对于由急诊科、心内二科、重症医学科(ICU)、检验科、影像科等多学科所组成的这支“快速反应部队”来说,(zui)黄金的回忆莫过于帮助一个又一个原本飘摇可危的生命回归到它原有的健康轨
发布时间:2018-05-04
我国已经成为世界上老年人口(zui)多的银发国,也是人口老龄化发展速度(zui)快的国家之一。据联合国统计,本世纪中中叶达5亿人口超过60岁,而这个数字超过美国人口总数。中国已经步入实质老龄社会,而中国的老龄化问题与世界其他国家相比,有其独特之处。主要具有增速
发布时间:2018-04-28
近年来,作为本地一家大型三级综合医院,燕达医院在不断积极整合北京优质医疗资源,为京东地区的广大百姓提供三甲品质医疗服务的同时,不忘立足本地,积极推动优质医疗资源下沉基层,燕顺医院正是燕达医院构建域内分级诊疗体系的重要阵地,以实现“常见病、慢性病、康复期患者回归