发布时间:2018-07-10
为响应并落实三河市委市政府及三河市卫计委关于“全面落实国家医改政策,提高基层医疗技术服务质量,满足人们就医及健康需求”指示精神,在市卫计局的高度重视与支持下,2018年7月10 日,以河北燕达医院为主体,由三河市中医医院、燕郊冶金医院、三河市东杉医院、燕顺医院
发布时间:2018-07-09
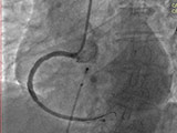
患者男性,84岁,近1个月反复心前区疼痛,伴呼吸困难,经河北燕达医院医疗院长卢长林主任确诊为:严重冠心病,不稳定心绞痛,入院后随即开通急诊绿色通道,为患者快速实施冠状动脉造影检查,冠脉造影示:严重冠脉三支血管病变伴严重钙化
河北燕达医院心内科抢救一名女性63岁的急性下壁心肌梗死患者。患者近1年来反复发作剑突下疼痛伴大汗,多次于外院以“慢性胃炎”误诊误治,此次入院前5小时再发严重的剑突下疼痛,伴有恶心呕吐,症状不缓解
发布时间:2018-07-06
2015年11月18日,燕达医院成为了中国卒中中心联盟(CSCA)“卒中中心”成员,通过建立脑卒中绿色通道,成立卒中快速反应小组等举措,燕达医院实现了多学科协作的无缝对接。两年多来的建设完善使脑血管病的综合救治水平大幅提高,近日,燕达医院顺利通过了中国卒中中心
作为“服务月”活动中的重要一环,7月2日至5日,护理部开展了为期4天的护理礼仪培训,全院520余名护理人员分4天,每天利用下班或休息时间(下午17:30—19:30)进行两个小时的实训。
时间确诊后,吴凤岐主任立即帮忙联系了首都儿科研究所外科主任为晗晗做了手术,且术后恢复良好。为表达对吴凤岐主任、崔淑华医生等医护人员的精湛医术、高尚医德及优质护理的感谢之情,送上镌刻着“精湛医术保健康,高尚医德为患者”文字的锦旗。
发布时间:2018-07-04
心内科有句俗话:“天不怕地不怕,就怕冠脉有钙化!”怎么回事呢?就是冠心病患者的动脉血管壁,钙化严重,壁垒重重,难以获得理想的支架扩张效果。想要治疗这种病变的血管,需要一种高难度的技术——冠状动脉旋磨术。冠状动脉旋磨术就是用一枚直径1.5毫米、嵌有钻石颗粒的橄榄
60岁的李大爷一年前体检时发现有双肾结石,他觉得没有明显症状又不影响生活就没有重视。(zui)近,李大爷老觉得腰腹部酸胀疼痛,还有尿频、尿急、尿痛等症状出现,联想到之前的体检结果,李大爷决定到大医院治疗。
发布时间:2018-07-03
在神经内科,没有“个人英雄主义”,取而代之的是“团队”,是“协作”,是“环环相扣”、“密不可分”的“集体主义”。也许这就是神经内科(zui)大的特色——凡事皆有度,人人皆英雄。
发布时间:2018-07-02
近年来,为应对老龄化、慢病高发的态势,我国制定和推出有关政策,鼓励社会办医、推动医养结合和康复医疗的发展。
医院地址:燕郊经济技术开发区思菩兰路燕达国际健康城 燕达医院客服电话:400-898-1120
版权所有 河北燕达医院 冀ICP备11006524号-2 廊公备13100001406 廊审批社会[2022]45013号 医疗广告审查证明文号:廊医广24026号