发布时间:2018-11-27
11月23日-24日,第二届中国医疗品牌建设与传播高峰论坛暨第四届中国医院宣传年会在天津隆重举办。本次会议聚焦“品牌新变革、发展新思维”,重点讨论医疗品牌影响力的创新内涵和外延,自媒体爆款的传播路径和运营思路,医疗非常事件应对策略,以及医院获客战略等热点,全国
“与病魔抗争,我们赢了,赢回一条鲜活的生命”,2018年11月21日19:02分,结束一天高负荷工作的燕达医院儿科主任吴凤岐教授在自己的朋友圈发布了这条状态。令她意想不到的是,仅一晚的时间,这条状态便收到300余条点赞。而这条朋友圈的主角便是曾牵动全院人心的那
发布时间:2018-11-26
进一步提振了燕达医院复杂疑难心脏病的诊治水平,为更好地造福河北乃至全国的广大心律病患做出不懈努力
为积极推动京东地区妇产学科建设,有效提升域内高危孕产妇管理及妇科微创诊疗水平,2018年11月24日,由河北燕达医院主办的“高危孕产妇管理与妇科微创学术论坛”在燕达国际健康城内成功举办。包括来自内蒙古赤峰中医院、任丘市人民医院、遵化市医院、大城县医院、大厂县医
发布时间:2018-11-23
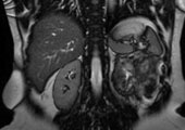
近日,燕达医院普外科主任李基业主任带领科室团队,成功为一位46岁的中年女性患者切除了腹膜后巨大脂肪肉瘤。这位患者5年内接受了2次腹腔肿瘤切除术,2个月前检查出肿瘤复发,就诊多家医院均因手术风险太大而被拒绝手术,zui终在燕达医院得到重生。
发布时间:2018-11-22
为进一步提高临床康复治疗师理论与实践水平,提升院内及域内康复治疗水平,11月22日下午,燕达医院康复医学科继续教育培训班正式开班授课,燕达医院康复医学科王建华主任、孙素艳副主任、申丰丰治疗师等进行专题讲座,来自本院及周边医疗机构的康复专业人员欢聚一堂,相互交流
发布时间:2018-11-21
作为此次推进会工作的重要一环,21日,廊坊市妇联副主席吴学红、权益部部长周术平等领导一行莅临燕达医院进行参观调研、学习交流。三河市妇联副主席祝志敏等三河市主要领导陪同参观调研,燕达医院院长助理贺杰等院领导予以了热情接待。
为提高社会公众对慢阻肺疾病的认知,传递慢阻肺患者对该疾病的预防、护理及治疗方面相关知识,2018年11月17日、21日,在第17个世界慢阻肺日到来之际,河北燕达医院开展了主题为“早防早治,始终不晚”——世界慢阻肺日公益义诊及健康讲座系列活动。
发布时间:2018-11-20
为进一步加强抗菌药物临床应用管理,提高抗菌药物管理整体水平,解决医务人员抗菌药物管理当中遇到的困难和疑惑,保证患者用药安全,提升医疗质量和服务水平,11月20日下午,燕达医院感染与疾病控制部、药学部、科教部联合组织召开了“抗菌药物管理经验培训会。
发布时间:2018-11-18
2014年11月18日,燕达医院与北京天坛医院正式签署合作协议,合作共建“天坛•燕达脑科中心”,为献礼燕达、天坛合作四周年,2018年11月18日,“河北燕达医院神经内科继续教育培训班”在燕达医院国宾酒店成功举办。北京天坛医院、河北燕达医院神经学科专家及近百位
医院地址:燕郊经济技术开发区思菩兰路燕达国际健康城 燕达医院客服电话:400-898-1120
版权所有 河北燕达医院 冀ICP备11006524号-2 廊公备13100001406 廊审批社会[2022]45013号 医疗广告审查证明文号:廊医广24026号